מבוא הפקה:
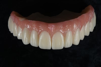
ציפויי פלדספטים הפכו פופולריים על ידי מטופלים בשל דרישות ההכנה הלא פולשניות שלהם, ויכולתם לאפשר לגווני השיניים הקיימים לזרוח.
פורניר זה בעבודת יד נוצר באומנות על ידי שימוש במברשת ואבקה על בסיס זכוכית מעורבבים עם נוזל. כדי לייצר ציפוי פלדספאתי, הטכנאי צובע ביד את הפורניר שכבה אחר שכבה, כך שניתן לשלוט על קו המתאר והמרקם וליצור אותו.
לטכנאי המעבדה הדיגיטלית של China יש את הניסיון הדרוש ליצירת פורנירים אסתטיים במיוחד שיתאימו לצרכיו ורצונותיו הקוסמטיים של כל מטופל. הציפויים שלנו הם פתרונות קוסמטיים מצוינים במקרים של שיניים סדוקות, דהויות או רווחות.
פרמטר מוצר
מותאם אישית
תכונת מוצר ויישום
ציפויי חרסינה פלדספאטיים הם שחזור אסתטי ביותר שאידיאלי לשחזורים קדמיים שבהם הצורה, המרקם והיופי הטבעי הם בראש סדר העדיפויות.
יתרונות/יתרונות
● הכנה מינימלית (0.2 מ"מ-0.3 מ"מ)
● אסתטי במיוחד
● לא פולשני
● שקוף
סגנון ייצור פורניר זה עשוי להיות מומלץ למטופלים כאשר:
● לשן הנקדח עדיין יש את רוב האמייל שלה
● המטופל אינו חורק שיניים
● כאשר התאמת גוון קשה
● עם מטופלים תובעניים במיוחד
משלוח, משלוח והגשה
אנו מקבלים קבצי STL.
אנו מקבלים הופעות רגילות, אתה יכול לשלוח לנו על ידי Fedex, UPS, DHL או Linex
אנו מסיימים את העבודות תוך 4-5 ימים לאחר שנקבל את התיקים שלך
אנו מקבלים TT.Paypal


תגיות פופולריות: ציפויי חרסינה פלדספאטיים, סין, ספקים, יצרנים, מפעל, זול, מחיר נמוך, תוצרת סין
